Im Mittelpunkt der Veranstaltung stehen die Themen perioperatives Management, die geriatrische Beckenringfraktur sowie die Frage nach dem Einsatz von Prothesen nach einer Fraktur.
Bei der Behandlung von Frakturen älterer Patienten ist häufig eine frühzeitige operative Versorgung anzustreben. In diesem Zusammenhang stellen Nebenerkrankungen und Co-Medikationen, wie beispielsweise gerinnungshemmende Medikamente, die verantwortlichen Ärzte nicht selten vor große Probleme. Zudem sorgen neurologische Krankheiten, zum Beispiel M. Parkinson oder Demenz, für perioperative Herausforderungen.
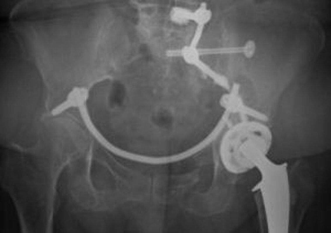
Auch bei der operativen Frakturversorgung gibt es aufgrund von Morbidität und Osteoporose eine Vielzahl von Herausforderungen. Darunter fallen unter anderem die Frakturen des Beckenrings, dessen Behandlung nach wie vor kontrovers diskutiert wird.
Aber auch bei Frakturen großer Gelenke stellt sich häufig die Frage, ob eine osteosynthetische Rekonstruktion noch sinnvoll und möglich ist oder ob eine prothetische Versorgung Vorteile bringt. Gleichzeitig können auch „banal“ erscheinende alltägliche Frakturen wie Sprunggelenksverletzungen aufgrund schlechter Knochenqualität und kritischer Weichteilverhältnisse Chirurgen vor große Herausforderungen stellen.
