Spezialisierungen
Das Projekt Spezialisierungen in der Orthopädie und Unfallchirurgie soll die Vielfältigkeit des Fachs Orthopädie und Unfallchirurgie beleuchten, die jeweilige Sektion in den Fokus setzen und die vielfältigen Möglichkeiten zur Weiterbildung und Forschung aufzeigen. An dieser Stelle wird in Zukunft eine Übersicht über die jeweilige Spezialisierung veröffentlicht werden, mit Möglichkeiten zur Hospitation, Auflistung von Stipendien, weiterführenden Links und Forschungsmöglichkeiten.
Septische Chirurgie in Orthopädie und Unfallchirurgie
Die septische Chirurgie ist ein Bereich der Orthopädie und Unfallchirurgie, die sich mit Infektionen des knöchernen und weichteiligen Bewegungsapparates (muskuloskelettale Infektionen) sowie Infektionen bei einliegenden Implantaten befasst. Das betroffene Patientenkollektiv stellt häufig auf Grund seiner Komplexität eine Herausforderung dar; es bedarf der interdisziplinären Zusammenarbeit. Aufgrund der hohen Behandlungskosten durch lange und teilweise aufwendige Behandlungsverläufe kommt dem Fachbereich eine hohe sozio-ökonomische Bedeutung zu.
Während kleineren Klinken die Grundversorgung oder Notfallversorgung im Akutfall eines Infektes zukommt, sind die Kliniken der Maximalversorgung (sowie die BG-Kliniken), die eine spezielle Abteilung mit entsprechenden Vorkehrungen haben, meistens für die abschließende Behandlung verantwortlich.
Zudem müssen Patienten im BG-lichen Heilverfahren entsprechend der Kategorien im SAV-Katalog nach Ziffer 11 in speziellen Krankenhäusern der Akutversorgung (SAV-Klinik, im Speziellen BG-Kliniken) behandelt werden.
Cave: Es gibt keine eigene Zusatzbezeichnung, sie ist Teil der Orthopädie und Unfallchirurgie!
Das Behandlungsspektrum in der septischen/rekonstruktiven Unfallchirurgie ist groß und variiert. Neben Osteomyelitiden und Weichteilinfekten nehmen die Implantat-assoziierten Infektionen einen entscheidenden Stellenwert ein.
Walter et al haben 2009 die Implantat-assoziierten Infektionen nach ihrer Häufigkeit gegliedert:
Osteosynthesen nach offenen Frakturen (am häufigsten Unterschenkel) > Endoprothetik Ellenbogen, Sprunggelenk > Endoprothetik Hüfte, Knie, Schulter (1).
(1) Walter G., Hoffmann R., Implantat-assoziierte Infektionen in Orthopädie und Unfallchirurgie. Krh.-Hyg. + Inf.verh. 31 Heft 1. 2009: 8-14. Elsevier
Leitlinie: Tiemann, A., et al, 2017 S2k-Leitlinie „Akute und chronische exogene Osteomyelitis langer Röhrenknochen des Erwachsenen“
Patientenkollektiv:
Viele Arbeitsunfälle (BG-lich Versicherte, SAV Ziffer 11)
Häufig Polytraumata; offene Frakturen
Häufig schwer körperlich arbeitende Patienten
Viele Nebenerkrankungen (v.a. Diabetes mellitus und pAVK)
Relativ hohe Rate an Rauchern
Typische Krankheitsbilder (inkl. Fallbeispiele):
Wunddefekt
Posttraumatische akute und chronische Infektionen
Ulcus
Trockene Nekrose/Gangrän
Phlegmone
Empyem
Osteomyelitis
Periprothetische Infektionen (Fall 2 und Fall 3)
Pseudarthrosen (Fall 1)
Nekrotisierende Fasciitis (selten, aber akutes Krankheitsbild mit hoher Letalität)
Gasbrand/Tetanus (heute selten)
Diabetische Gangrän (zunehmend relevant)
Grundkenntnisse und Voraussetzungen:
Chirurgische Grundkenntnisse
Hygienerichtlinien
Keimspektrum
Antibiotikaleitlinien (Antibiotic-Stewerdship-(ABS)-Programme)
Komplikationsmanagement (CIRS)
DAIR (debridement, antibiotics and implant retention) Procedure: bei periprothetischen Infektionen
Physiotherapie: Physikalische Therapie
Therapeutische Optionen:
Diagnosesicherung (akut und bei chronischen Infekten) Histologie und Mikrobiologie
Arthrotomien, Sequestrektomie
Revision (frühe Metallentfernung, Implantatwechsel, Infektsanierung, Debridement, VAC, Spongiosaplastik, Spacereinlage)
Kallusdistraktion (Ringfixateur, Verlängerungsmarknagel)
Arthrodesen
Amputationen
Interdisziplinäre Zusammenarbeit:
Innere Medizin – entgleister DM, Niereninsuffizienz, multiple Nebenerkrankungen, Gerinnung, Fokussuche
Angiologie – pAVK
Mikrobiologie – Abstriche (z.B. nach SPW-Kriterien), Gewebeproben
Pathologie – Histologie
Dermatologie – DD: Hauterkrankungen, Pyoderma, Manipulation?
Radiologie – Sequester, Angiographie, Fokussuche
Psychologie – schwierige Wiedereingliederung, sozioökonomische Folgen
Sozialdienst – häufig häusliches Versorgungsdefizit; Hilfsmittelversorgung
Forschungsmöglichkeiten:
- Grundlagenforschung
- Klinische Forschung
Mit den Fällen soll gezeigt werden, wie breit das Spektrum der septischen Chirurgie ist. Sie erheben keinen Anspruch auf fachlich korrektes Vorgehen.
Von der Fraktur über die Pseudarthrose zum Segmenttransport
Vorgeschichte: Herr M. zog sich vor drei Jahren im Rahmen eines BG-lich versicherten Motorradunfalls eine I°ig offene mehrfragmentäre Tibiaquerfraktur mit 2-Etagen-Fraktur der Fibula links sowie eine OSG-Luxationsfraktur rechts zu.
Die initiale Versorgung erfolgte in einer Klinik der Maximalversorgung mit Fixateur extern Anlage und Transfixation des Sprunggelenks. Im Verlauf erfolgte der Verfahrenswechsel auf einen Tibia-Nagel links und Fibulaplatte mit Zuggurtung des Innenknöchels rechts.
Patientenbezogenen Angaben: Der Patient ist Mitte 40, gesund ohne relevante Vorerkrankungen, mit gutem AZ und leicht adipösem EZ. Der Patient ist Nichtraucher.
Beginn der Infektion: Etwa einen Monat später kam es beidseits zu Nekrosen und Wundheilungsstörungen, welche mittels Wundunterdruck-Therapie und im Verlauf Defektdeckung mittels Suralislappenplastik behandelt wurden.
Bei Fistel über der Unterschenkelfraktur links erfolgte etwa 9 Monate nach dem Unfall die Fistelexzision, mehrfaches Markraummüberbohren mit Jet-Lavage sowie die erneute Wundunterdruck-Therapie. Bei Keimnegativität erfolgte eine erneute Marknagelosteosynthese mit Schwenklappenplastik und Spalthaut zum Verschluss des Defekts.
Vorstellung in einem Zentrum: Ein Jahr nach dem Unfall erfolgte bei persistierenden Schmerzen die erstmalige Vorstellung in einer BG-Klinik. Hier zeigte sich eine Subluxationsstellung der Sprunggelenksfraktur auf der rechten Seite mit weit fortgeschrittener posttraumatischer Arthrose. Auf der linken Seite zeigte sich eine befriedigende Stellung bei noch erheblicher Defektzone lateralseits und nicht ganz aufeinander stehenden Frakturenden aber in regelrechter Position. Es erfolgte zunächst die Sprunggelenksarthrodese rechts um eine stabile, schmerzfreie Seite zu erhalten.
Rekonstruktion: Bei Infektverlauf mit Nachweis von Staphylococcus aureus und Staphylococcus epidermidis sowie histologischem Nachweis einer chronischen Osteomyelitis an der linken Tibia erfolgte 1,5 Jahre nach dem Unfall die Infektsanierung mit Segmentresektion und anschließend der Segmenttransport mittels Precice-Bone-Transport-Nail.
Nach etwa 2 Monaten konnte das Kompressionsdocking erfolgen. Bei weitgehender Konsolidierung über ein Jahr nach der Implantation erfolgte die Metallentfernung des einliegenden Segmenttransport-Nagels sowie die Anpassung eines Braces zur weiteren Ausbehandlung.
Resümee: Erst durch die konsequente Segementresektion konnte der Infekt eradiziert werden. Durch die Therapie mit dem noch relativ neuen Verfahren des Segmenttransportnagels konnte dem Patienten die zwar ebenfalls meist erfolgreiche, jedoch deutlich belastendere Therapie mit einem Ringfixateur erspart werden.
Periprothetischer Hüftgelenksinfekt bei einliegender Hüft TEP
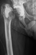
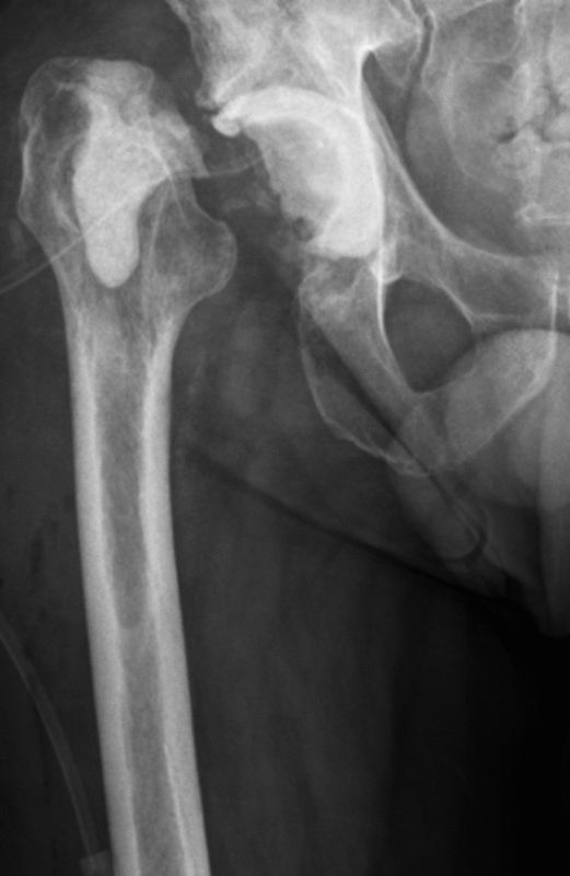
Kurze Vorgeschichte: Herr B., 56 Jahre, hatte Anfang des Jahres 2017 einen Oberflächenersatz des Femurkopfes rechtsseitig (McMinn Prothese, Abb. 1) implantiert bekommen. Mit Schmerzen in der rechten Hüfte erfolgte im Herbst 2017 erstmalig die Vorstellung in domo.
Patientenbezogene Angaben: Der Patient war bei der primären Vorstellung in einem gutem AZ und EZ (181cm, 84 kg Körpergewicht). Er berichtet an rezidivierenden Pneumonien zu leiden. Zuletzt habe er im Februar 2017 eine Pneumonie (nicht näher beschrieben) erlitten. Anschließend habe er eine Lungenarterienembolie entwickelt. Diese habe er jedoch schon einmal 2002 gehabt. Weiterhin sei er kardiologisch mit einer hypertrophen, obstruktiven Kardiomyopathie vorerkrankt. Weiterhin habe er vor 30 Jahren eine Splenektomie erhalten. Genauere Angaben hierzu hat er nicht gemacht.
Verlauf: Im Juli 2017 habe er auf Grund von anhaltenden Schmerzen im Bereich des rechten Kniegelenkes eine diagnostische Arthroskopie erhalten. Genauere Befunde liegen uns hierzu nicht vor. Im weiteren Verlauf seien Schmerzen im Bereich der rechten Hüfte hinzugekommen, weshalb eine erste Vorstellung in unserer Notaufnahme erfolgt.
Vorstellung in der Notaufnahme: Nach der klinischen Untersuchung des Patienten wurde ein Aufnahmelabor durchgeführt (Leukozyten 8.900 Leukozyten/ µl, CRP 79,5 mg/l). Die weiteren Laborparameter zeigten sich, bis auf eine Anämie (Hb 9,5 g/dl) unauffällig.
Eine Röntgenaufnahme des Beckens sowie der rechten Hüfte wurde durchgeführt. Hier wurde der Verdacht auf eine Implantatlockerung gestellt und ein CT der rechten Hüfte veranlasst. Hierbei zeigte sich neben den Lockerungszeichen im Bereich der Pfanne und des Implantates im Femur ein Verhalt zwischen Gluteus medius und maximus. Die Hüfte rechtsseitig wurde punktiert und ein multisensibler E. coli festgestellt. Es erfolgte die Planung zur stationären Aufnahme und Revision der rechten Hüfte.
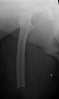
Procedere: Nach der entsprechenden Vorbereitung erfolgte im September der Ausbau der McMinn-Prothese sowie die Resektion des Schenkelhalses, ein Débridement im Bereich des Hüftgelenkes sowie die Einlage eines Spacers (i.S. einer Copal Zementeinlage) in die Hüftpfanne und im Bereich des proximalen Femurschaftes (Girdlestone Situation). Ende November 2017 erfolgte 6 Wochen nach Spacer Implantation (Abbildung 2) eine erneute Wiedervorstellung zur Punktion des Hüftgelenkes als Vorbereitung auf den Prothesenwiedereinbau. Hierbei wurde erneut ein E. coli detektiert und eine antibiogrammgerechte Antibiose mittels Ciprofloxacin 500mg 1-0-1 fortgesetzte. Die Indikation zum Spacerwechsel wurde gestellt. Der Eingriff konnte geplant Anfang Dezember durchgeführt werden.
Ende Dezember erfolgte die erste Punktion des Hüftgelenkes, bei der schließlich kein Keimnachweis erfolgte. Nach 6 weiteren Wochen konnte ebenfalls kein Keim mehr im Hüftgelenk nachgewiesen werden, so dass für März 2018 der Hüft-TEP-Wiedereinbau geplant wurde. Bei der Vorbereitung und Planung (CT Diagnostik) zeigte sich ein relativ großer knöcherner Defekt im Bereich des kranialen Acetabelums, sodass mit einem Burch-Schneider- Ring (Abbildung 3) geplant wurde.
Oberschenkelamputation nach periprothetischer Tibiafraktur bei nicht sanierter periprothetischer Kniegelenksinfektion
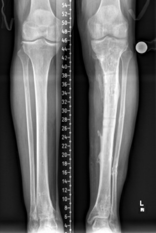
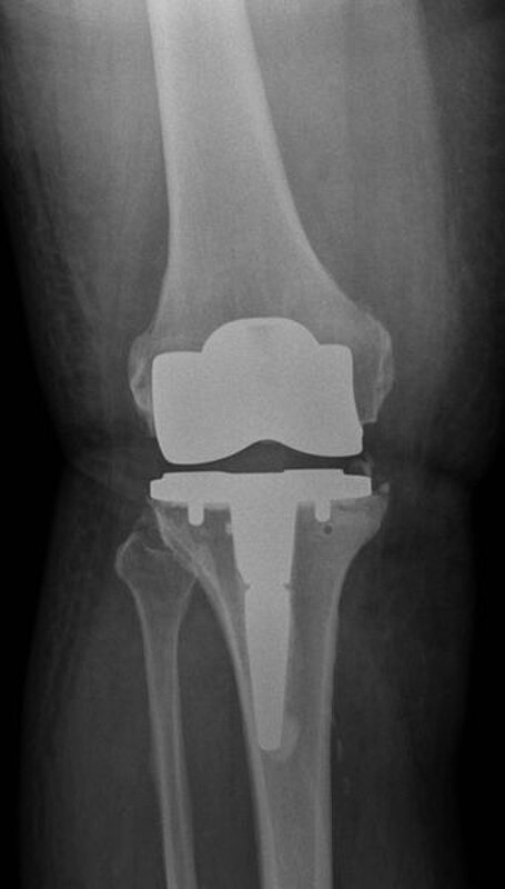
Kurze Vorgeschichte: Herr S, ein 67-jähriger Patient, erhielt 2011 (Abbildung 1) bei ausgeprägter Gonarthrose eine primäre KTEP rechtsseitig. Im weiteren Verlauf zog er sich 2017 eine periprothetische Tibiafraktur zu, die mit einem Knieendoprothesenwechsel auf ein achsgeführtes Implantat (Abbildung 2) und Schaftverlängerung der Tibia im September 2017 ex domo therapiert wurde. Im Verlauf zeigten sich eine anhaltende Sekretion und eine partielle Nekrose am unteren Wundpol.
Patientenbezogene Angaben: Der Patient war bei der primären Vorstellung in einem reduzierten AZ und adipösen EZ (160cm, 110 kg Körpergewicht). Neben einer Hypercholesterinämie, einer Adipositas per magna und einer arteriellen Hypertonie wird ein gelegentlicher Alkoholkonsum angegeben. Weiterhin berichtet der Patient in der Vorgeschichte (Mitte 2017) eine tiefe Beinvenenthrombose erlitten zu haben. Zudem besteht bei Herrn S. ein Schlafapnoesyndrom, weshalb er zur Nacht ein CPAP Gerät verwende.
Verlauf: Bei zunehmender Wundnekrose und anhaltender Sekretion nach Prothesenwechsel bei periprothetischer Tibiafraktur erfolgt erstmals im Oktober 2017 die Vorstellung in domo.
Vorstellung in der Notaufnahme: Die erste Vorstellung erfolgte konsiliarisch im Rahmen unserer septischen Sprechstunde im Oktober 2017. Hierbei zeigte sich klinisch am distalen Wundpol über 6 cm Länge und 3 cm Breite eine oberflächliche ledrig verhärtete Nekrose der oberflächlichen Haut, ohne dass darunter Verhaltstrukturen vermutet werden müssten. Keine Fluktuation in der Tiefe. Angrenzend leicht nässender Bereich. Nach der klinischen Untersuchung des Patienten wurde ein Aufnahmelabor durchgeführt (Leukozyten 7.300 Leukozyten/ µl, CRP 31,3mg/l). Die weiteren Laborparameter zeigten sich, bis auf eine leichte Anämie (Hb 13,4 g/dl) unauffällig. Eine Peoneusläsion rechtsseitig war ebenfalls vorbestehend.
Eine Röntgendiagnostik des rechten Kniegelenkes in 2 Ebenen wurde eingeleitet. Hierbei zeigte sich eine stabil einsitzende Revisionsprothese ohne aktuelle Lockerungszeichen.
Procedere: Die stationäre Aufnahme erfolgte zunächst über die Kollegen der plastischen Chirurgie. Hier wurde im Dezember 2017 die Nekroseabtragung, ein Wunddebridement und eine Defektdeckung mittels M. Gatrocnemius-Lappenplastik und Spalthauttransplantation durchgeführt. Zudem erfolgte eine Neurolyse des N. peroneus. In den intraoperativ durchgeführten Abstrichen zeigte sich der Nachweis eines Candida parapsilosis, weshalb zunächst die antimykotische Therapie mit Fluconazol i.v. sowie anschließend oral erfolgte. Eine Peroneusfeder wurde rezeptiert.
Ende Novemeber 2018 erfolgte eine erneute Wiedervorstellung des Patienten in unserer Notaufnahme. Hierbei beklagte er rezidivierende lymphödematöse Schwellungszustände des Unterschenkels rechts, Knieschmerzen und radiologisch nachgewiesene Flüssigkeitsansammlung im Kniegelenk rechts. Eine Punktion des Kniegelenkes erfolgte im Dezember 2018, wobei sich eine chronische Infektion mittels Candida parapsilosis des rechten Kniegelenkes bestätigte.
Wir haben anschließend im März 2018 den Ausbau der einliegenden Kniegelenksprothese empfohlen, um den Infekt zu sanieren. Dies wurde jedoch seitens des Patienten abgelehnt.
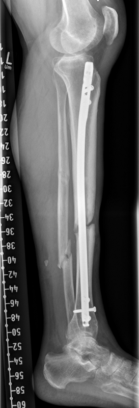
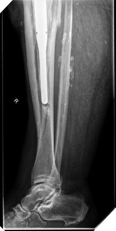
Im weiteren Verlauf zeigten sich die Weichteile des rechten Unterschenkels zunehmend mazeriert und belegt. Zudem sei der Patient erneut gestürzt. Eine erneut durchgeführte Röntgendiagnostik zeigte erneut eine periprothetische Tibiafraktur (Abbildung 3) bei einliegender achsgeführter KTP mit langem tibialem Stem und bekanntem periprothetischem Infekt mit Candida parapsilosis. Wir haben die Befunde ausführlich mit dem Patienten besprochen und in Zusammenschau der Befunde schließlich die Indikation zur Oberschenkelamputation gestellt.
Diese konnte komplikationslos im Mai 2018 durchgeführt werden (Abbildung 4 und 5).
Womöglich hätte der drastische Schritt einer Amputation durch eine frühzeitige Prothesensanierung, welche jedoch durch den Patienten abgelehnt wurde, verhindert werden können.












